发布时间:2022-11-10 来源: 浏览量:


近日,血管病区收治了一名72岁的老年男性患者,患者诉近期频繁发作头晕及左上肢乏力。患者患高血压病10余年,在家中自行测量血压时,偶然发现右上肢血压高达180/100mmHg,而左上肢血压却为120/90mmHg,双上肢血压值差异十分明显。难道是血压计出问题了?老人于诊所重复测量数次,测得的结果均是如此。
带着困惑和不解,患者来到了我院血管病区就诊,并接受了双上肢血管超声检查。超声检查结果显示患者左侧锁骨下动脉重度狭窄,左椎动脉内血液异常地自头部向左上肢方向流动。
血管病区医生向患者解释了病情:左锁骨下动脉狭窄会导致左上肢供血不足,所以患者会有左上肢乏力症状,临床体征可表现为左桡动脉搏动微弱或摸不到。头部血液反常地向左上肢分流,临床称为“窃血”,其导致头部供血不足,所以患者出现头晕等症状。
该患者恍然大悟,原来,双上肢血压差异大是一种病!
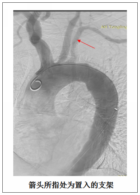
血管病区为该患者施行了左锁骨下动脉球囊扩张成型术及支架置入术。术中在左锁骨下动脉狭窄部位放置一枚直径为9mm,长度为2.5cm的支架。手术十分顺利,全程耗时不到1小时,术后患者即刻诉头晕及左上肢乏力症状明显改善,2天后顺利出院。
在血管病区,锁骨下动脉狭窄或闭塞病例并不罕见,每年都有数例患者在我院住院并接受手术治疗,均取得了良好的治疗效果。
友情链接