发布时间:2022-04-24 来源: 浏览量:

对于基底节区脑出血或功能区脑出血患者,肢体偏瘫是令人苦恼的后遗症,减轻偏瘫和早日回归正常生活既是患者也是医务人员的最大心愿。近日,我院神经外科应用神经内镜微创手术技术成功治疗两例此类脑出血患者。
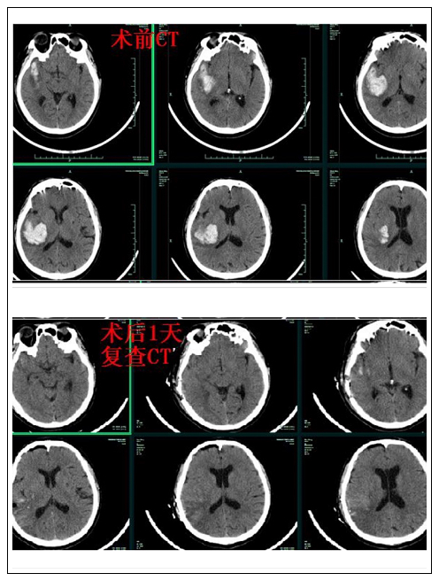
患者一:男性,63岁。因突发右侧基底节颞叶脑出血35ml,左侧肢体偏瘫(肌力1级)伴面瘫,口齿不清。颅内出血量较大,脑功能区受压明显,手术指征存在,急诊在神经外科行神经内镜微创手术清除血肿。术后第三天,左侧肌力即恢复至3级,术后8天(出院时)肌力恢复至4级。
患者二:女性,57岁。脑内大量血肿量约36ml,左额顶功能区受压明显,右侧完全性偏瘫(肌力0级)。在急诊脑血管造影排除颅内血管畸形后,行神经内镜微创脑内血肿清除术,术后第10天,右下肢肌力恢复至3级,上肢恢复至1级,转康复医院继续康复治疗。
对于血肿量偏大(大于20ml)的累及基底节区或功能区的脑出血,单纯保守治疗病程长,远期神经功能恢复较差。熟练利用神经内镜微创手术积极早期干预,能够快速有效消除血肿负荷,减轻周围脑组织的继发性损伤,显著改善偏瘫和总体预后,帮助患者早日回归正常生活,拥抱家人和幸福。
友情链接