本院动态

当前位置: 首页 > 资讯中心 > 本院动态 > 巧利用,让脑洞不再“大开”

巧利用,让脑洞不再“大开”

发布时间:2022-04-11    来源:   浏览量:

近日,我院神经外科成功利用微创神经内镜技术救治一例创伤性脑出血患者。

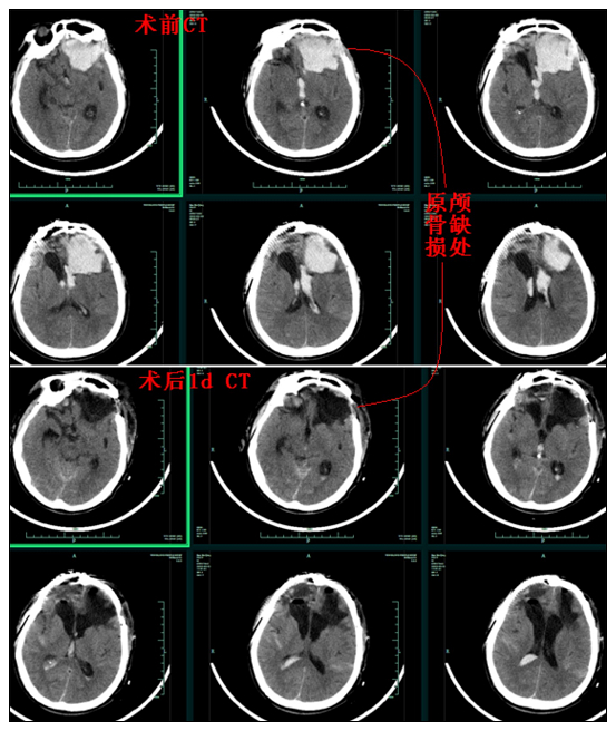
患者为63岁男性,头部外伤6小时入院,来院时神志朦胧,急诊CT提示:双额叶软化灶及手术迹,左额脑挫裂伤伴血肿38ml,蛛网膜下腔出血。

因为患者数年前的一次重度颅脑外伤和双侧开颅手术史,家属对开颅手术心有余悸,入院后要求保守治疗观察。但是,经积极保守治疗后,患者意识障碍逐渐加重,复查CT示:左额脑内血肿增加明显,量约70ml余,并破入脑室伴第三、四室脑室铸型,急性脑积水形成。性命垂危,非手术不可!医生与家属积极沟通,详细解释首选微创手术方式,以开颅手术为补救方案,家属表示理解并最终同意手术。

急诊行神经内镜下左侧脑内及脑室内血肿清除术,术中医生巧妙利用部分原切口,仅利用原有的额骨约2cm*2cm大小缺损,神经内镜下微创清除脑内和脑室内血肿,术中失血仅50ml。术后动态复查CT示:颅内血肿基本清除,颅内结构恢复良好,效果满意。术后经过积极的对症治疗,患者顺利康复出院。经回访,患者现一般情况良好,四肢活动正常,生活可自理。

神经内镜手术相较传统的开颅手术创伤小、颅骨破坏小、术后恢复快,可显著减少对患者身体和心理带来的二重“创伤”。精益求精的医疗技术将提高患者的生活质量,保持患者原有幸福生活。