发布时间:2021-12-24 来源: 浏览量:


近日,我院神经外科在神经内镜辅助下成功治疗一名丘脑出血破入脑室,脑室积血铸型的重症患者。患者出院时神志清楚,精神尚可,病情平稳,左侧肢体偏瘫转康复治疗。
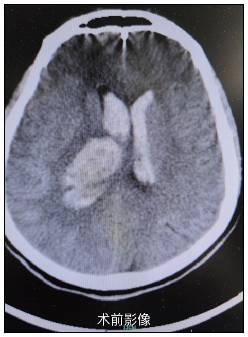
患者因“突发意识不清三小时”入院,急诊来院时深昏迷,刺激四肢无明显活动。CT检查示:右侧背侧丘脑出血量约12ml,两侧额叶腔隙性脑梗塞,脑室积血铸型。患者既往有高血压病史,病情危重,需急诊手术治疗。
神经外科团队接诊后,急诊为患者在气管插管全麻下行内镜辅助下脑室血肿清除+丘脑血肿清除+左、右脑室外引流+颅内压探头植入术。术中仔细清除脑室血肿约20ml及丘脑血肿,经充分有效的止血,术中失血量约30ml。手术三小时不到,术后返回神经外科监护室行进一步抢救治疗。经过精心治疗和护理,患者一天天恢复。术后患者恢复良好,神志清楚,头部切口愈合可,右侧肢体可见活动,左侧偏瘫,顺利出院。
内镜辅助下治疗丘脑出血破入脑室患者,可以短期内清除脑内及脑室内血肿,快速缓解颅高压,早期打通脑脊液循环,减轻血肿对丘脑及周围组织的原发损伤,避免血肿分解的有害产物造成的继发性损伤,减少脑积水及颅内感染的发生,使患者术后恢复效果好,减少患者创伤,改善患者预后,缩短住院时间,减少住院费用。救死扶伤,挽回的不仅是一个生命,更是一个家庭的希望和未来。
友情链接