发布时间:2021-08-10 来源: 浏览量:

22岁的她,是一个被父母万般宠爱的孩子,正值青春活力的大好时光,却因一场车祸改变了命运。
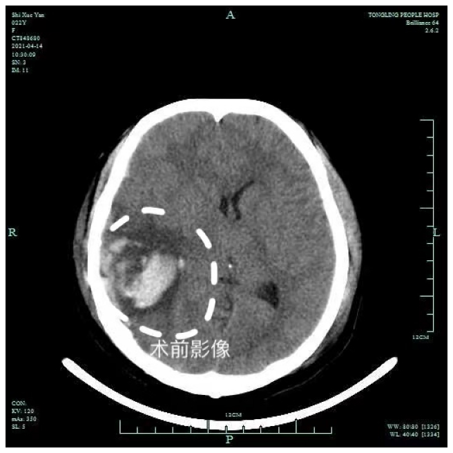
该患者因车祸致伤头部及全身。行头、胸、腹CT检查提示:1、蝶窦内见积液、窦壁见线性骨折,左侧颞骨骨折可能;2、右侧颞内多发脑挫裂伤伴血肿形成,右侧颞内多发脑挫伤伴血肿形成,右侧颞顶颅骨下弧线状血肿,蛛网膜下腔出血;3、左侧锁骨骨折,右侧第6肋骨腋段骨折,骶骨、右侧髌骨、右侧耻骨多发骨折,周围软组织肿胀。我院神经外科以“创伤性脑内血肿”收治入院。
患者意识模糊不清,头面部、全身皮肤多处擦伤,右耳可见血性液流出。入院后给予脱水止血、预防感染等对症治疗。入院五天后,患者意识加深、病情加重,颅内血肿量增多达手术治疗指征。床位医生胡凌向家属充分沟通后,急诊在气管插管全麻下行开颅探查术+脑内血肿清除术+内减压术+去骨瓣减压术。术中仔细清除血凝块及糜烂组织约60ml,患者因处月经期及骨盆骨折,渗血明显,予以小心止血并术中予以输血。术后返回神经外科监护室,在科主任崔明的指导下,予以积极对症治疗。
术后十天,患者意识逐渐清楚,可以用画笔在本子上写爸爸妈妈和自己的想法,能认识亲人,家属非常激动并表示感谢。术后复查CT等检查结果显示脑内血肿已完全清除,病情平稳予以出院行康复治疗。
作为健康所系、性命相托的医务工作者,我们尽心尽职,守护着患者的健康和生命,希望每一个青春的花朵都可以尽情地绽放光彩!
友情链接