本院动态

当前位置: 首页 > 资讯中心 > 本院动态 > 显微骨科微创技术成功救治高龄“熊猫血”患者

显微骨科微创技术成功救治高龄“熊猫血”患者

发布时间:2017-12-08    来源:   浏览量:




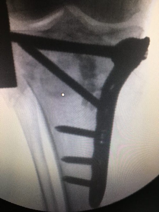
近日,显微骨科成功采用微创手术治疗一位高龄“ 熊猫血”患者。患者,女,84岁,蛛网膜下腔出血,左足、踝、腓骨多发骨折,BRh(-)血,为高龄稀有血型患者。入院后积极治疗及完善术前准备。于2017121日行“左胫骨平台骨折微创有限切开复位钢板螺钉内固定+植骨术”,手术切口小,出血量控制在20ml以内。术后在显微骨科全体医护人员的精心照顾下患者恢复良好,家属表示感谢。